Рентген руки — метод исследования костных структур на предмет наличия переломов, трещин, остеопороза и других патологий. Рентгенография — современная и безопасная медицинская процедура.
В 90% случаев с её помощью можно достоверно установить патологию костной системы и начать своевременное лечение.
Принцип действия аппарата

Когда делают рентген, происходит соприкосновение лучей с тканями на молекулярном уровне — наблюдается ионизация тканей. Ионизация опасна для человека, поскольку является результатом действия радиации. В медицине применяют слабое кратковременное излучение. Таким образом, минимизируется неблагоприятное влияние на пациента.
Рентген лучи продуцируются рентгеновской трубкой (РИД), при выключении которой — исчезают. Они не накапливаются в тканях, поэтому не нужно выводить из организма.
Процедура рентген-обследования называется рентгенографией. Рентгенографию подразделяют в зависимости от того, какой орган обследуют. Исследование кистей носит название рентгенография кистей, голеней — рентгенографией голеней.
Когда назначают рентген рук
Снимок руки помогает выявить заболевания костной, хрящевой, мышечной, соединительной ткани на ранних этапах, когда симптоматика болезни ещё не развилась и человек даже не подозревает о наличии у себя патологии.
Учитывая тот факт, что рука чаще поддаётся травмированию, статистически 60-70% обследований приходятся на рентген лучезапястного сустава, запястья, предплечья, плеча. Из них около половины — исследование кисти.
Рентгенографию назначают для:
- контрольных проверок состояния костей, суставов и хрящей;
- определения первопричины болевого синдрома;
- выявления инородных объектов в организме;
- контроля за ростом костных структур в детском возрасте;
- выявления крови или серозной жидкости внутри сустава;
- обнаружения патологических разрастаний костной ткани;
- выявления участков кальцификации в организме.
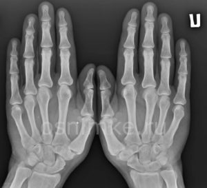
При наличии подозрения на повреждение связочного аппарата, ушибы, переломы или вывихи, доктор назначит рентген кисти. На полученном снимке отчётливо видны патологические изменения. Перелом кисти рентгенологически проявляется линией просветления, нарушением целостности надкостницы, её подрытыми краями и др.
Показано регулярно делать снимок кисти с целью контроля над процессами репарации тканей. Процедура широко используется в криминалистике. Она определяет возраст пациента (костный возраст), устанавливает пол, род занятий человека.
Противопоказания к проведению рентгена
В течение длительного времени обследование являлось единственным способом проверки состояния человека «изнутри». Однако, в связи с наличием ряда противопоказаний, появилась необходимость в разработке новых методик обследования — безопасных, высокоинформативных и надёжных.
Противопоказаниями к проведению процедуры являются:
- беременность (особенно на раннем сроке);
- кормление грудью (лактация);
- психические заболевания (шизофрения, маниакальные состояния и т. д.);
- критическое или тяжёлое состояние пациента;
- превышение лимита поглощённой дозы излучения больным.
Радиоактивное излучение на ранних этапах беременности нарушает процессы закладки и развития внутренних органов плода, приводит к тяжёлым патологиям или смерти будущего ребёнка. Во время лактации излучение отрицательно влияет на гормональный фон женщины, может стать причиной исчезновения молока.
Рентгенограмма кисти не требует особой подготовки. Нет необходимости в соблюдении диеты, водного режима, употреблении специальных веществ или продуктов перед процедурой. Но всё же, кое-какая подготовка необходима.
Для проведения планового исследования у пациента должна быть на руках амбулаторная карта больного и направление от врача. В экстренных случаях, например, при сломанной руке, пациент может не иметь при себе никаких медицинских бумаг. Но желательно, чтобы у него были паспорт, удостоверение, водительские права или другие документы, подтверждающие личность.
При проведении рентгена нужно неподвижно зафиксировать запястье. Пальцы должны быть соединены и лежать на поверхности ПЗС-камеры. При стандартном положении ось конечности должна быть ровной.
О других методах обследования
При неэффективности или наличии противопоказаний к рентгену, альтернативой являются:
- рентгеноскопия;
- компьютерная томография (КТ);
- магнитно-резонансная томография (МРТ);
- ультразвуковое исследование (УЗИ)
- сцинтиграфия.
Компьютерная томография намного информативнее стандартного рентгена, помогает подробно увидеть состояние костей, мягкотканные образования. Но КТ также основано на воздействии радиации. МРТ и УЗИ имеют глубокую разрешающую способность и не обладают неблагоприятным воздействием на организм.
Рентгеноскопия — это обследование в реальном времени, изображение проецируется не на плёнку, а на специальный экран.
Сцинтиграфия основана на введении в организм радиоактивного элемента и наблюдении за его перемещением, накоплением, выведением из организма. Такая процедура показана при подозрении на онкологическую патологию костной или хрящевой ткани. Сцинтиграфия несёт значительную ионизирующую нагрузку, поэтому не может проводиться часто. После неё показано придерживаться специальной диеты.
Сколько стоит рентген руки
Цена на процедуру в медицинском заведении на территории России колеблется от 600 до 3-3,5 тыс. рублей. Стоимость зависит от вида собственности заведения (государственное или частное), особенностей аппарата, необходимости обезболивания перед обследованием.
Важно! Рекомендуем проходить диагностику на цифровых рентгеновских аппаратах.
В тяжёлых случаях неподвижности больного и при наличии передвижной установки, исследование проводят непосредственно в палате или на дому. При последнем варианте стоимость увеличивается. Сумма зависит от расстояния, от медицинского заведения к дому больного.
Рентгенологическое исследование является основным методом диагностики заболеваний и патологий костных и хрящевых тканей. Процедура помогает установить точный диагноз и назначить соответствующее лечение.
Рентген, хоть и показан большинству больных, имеет ряд противопоказаний. При наличии хотя бы одного из них, проводить обследование запрещено. При неэффективности исследования применяются другие методики: КТ, МРТ или УЗИ.
Частые вопросы
Какие заболевания и травмы можно выявить при рентгене кисти руки?
Рентген кисти руки позволяет выявить такие заболевания и травмы, как переломы, вывихи, артрит, остеопороз, опухоли и другие патологии костей и суставов.
Какова цель проведения рентгенографии кисти руки?
Целью проведения рентгенографии кисти руки является получение детального изображения костей, суставов и мягких тканей для выявления патологий, диагностики травм и контроля за эффективностью лечения.
Полезные советы
СОВЕТ №1
При изучении рентгеновских снимков кисти руки обратите внимание на структуру костей и суставов, чтобы оценить их состояние.
СОВЕТ №2
Обратите внимание на возможные травмы или переломы, которые могут быть обнаружены на рентгеновских снимках, и обсудите их с врачом.

