Здравствуйте! Боль справа в груди на максимальном вдохе, легкое жжение в грудной клетке справа сзади и справа спереди. Сухой кашель.
При повороте головы влево — колющая боль в грудной клетке справа (локализация — трапециевидная мышца ближе к позвоночному столбу).
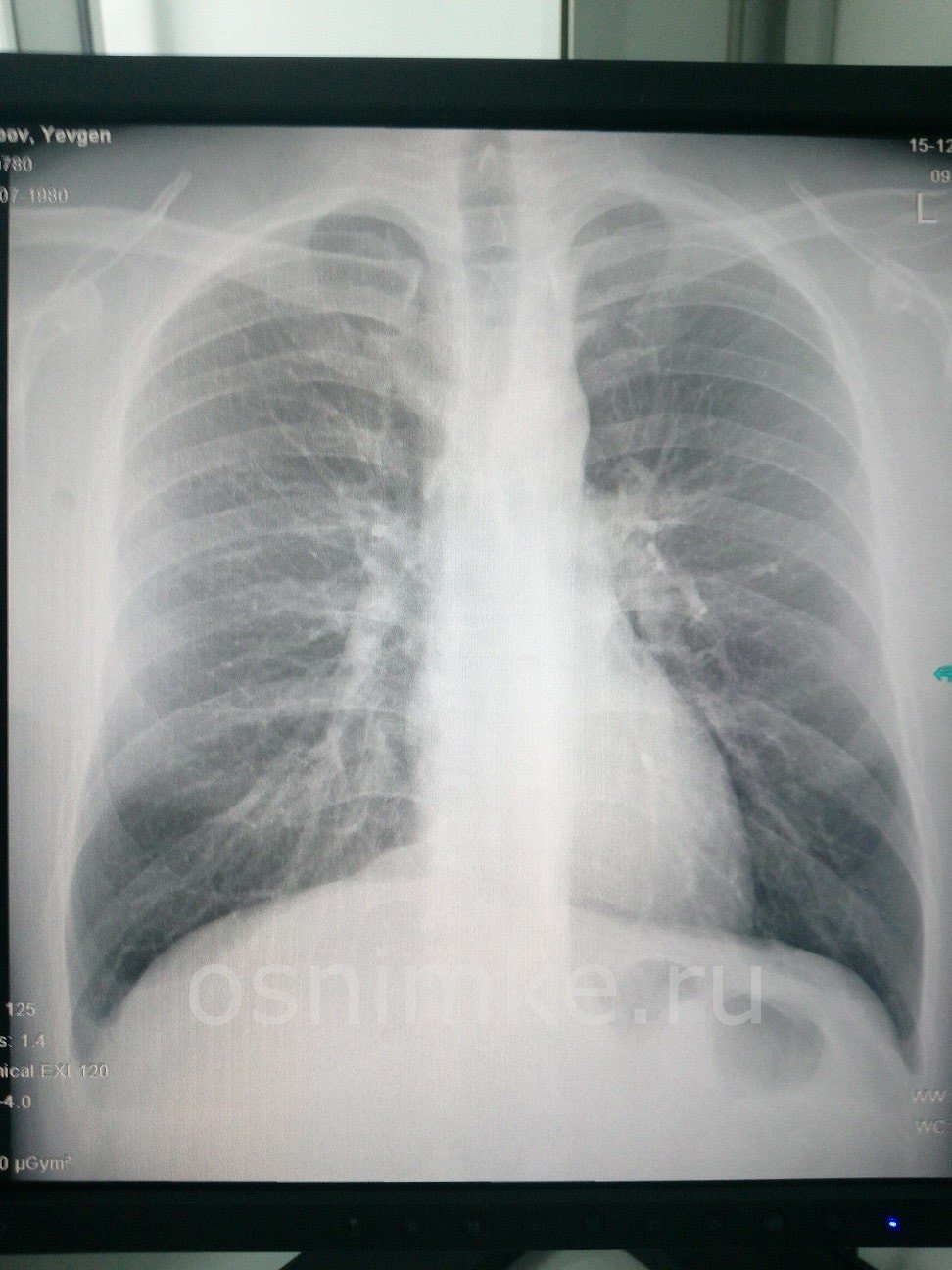
Ответ
Здравствуйте! Видимой патологии на обзорной рентгенограмме ОГК в прямой проекции не выявлено. Описанные Вами симптомы могут соответствовать остеохондрозу шейного и грудного отделов позвоночника.
Рекомендовано:
- рентгенограмма шейного и грудного отделов позвоночника для начала, хотя-бы в боковых проекциях;
- консультация врача — невролога.
Частые вопросы
Что может быть причиной боли справа в груди?
Боль справа в груди может быть вызвана различными причинами, включая проблемы с сердцем, пищеварительной системой, легкими, мышцами или костями грудной клетки.
Какие симптомы могут сопровождать боль справа в груди?
Кроме самой боли, симптомы могут включать одышку, чувство давления или жжения в груди, тошноту, рвоту, а также боли в шее, спине или руке.
Полезные советы
СОВЕТ №1
Если у вас возникла боль справа в груди, обратитесь к врачу для профессиональной консультации и обследования. Не игнорируйте симптомы, так как они могут быть признаком серьезного заболевания.
СОВЕТ №2
При появлении боли справа в груди, избегайте физических нагрузок и стрессовых ситуаций. Покой и спокойствие могут помочь снизить дискомфорт и улучшить ваше самочувствие.
СОВЕТ №3
Поддерживайте здоровый образ жизни, включая правильное питание, регулярные физические упражнения и отказ от вредных привычек, таких как курение. Это поможет укрепить сердечно-сосудистую систему и снизить риск возникновения боли в груди.