Вредна ли флюорография обсуждается как в научных, так и общественных кругах. Этот способ разработан в конце XIX столетия, спустя год после изобретения рентгеновских лучей.
Современная диагностика включает комплекс лабораторных и инструментальных методов. Одним из них является рентгенологическое обследование. Исследование выявляет заболевание на ранних стадиях, и помогает назначить правильную терапию.
Зачем нужно обследование

Если пациент жалуется на кашель, одышку, вялость, апатию, то назначают уже не флюорографию, а сразу рентген легких.
Также входит в комплексную диагностику, которая является распространённой и обязательной процедурой при устройстве на работу, поступлении в университет, получении водительских прав.
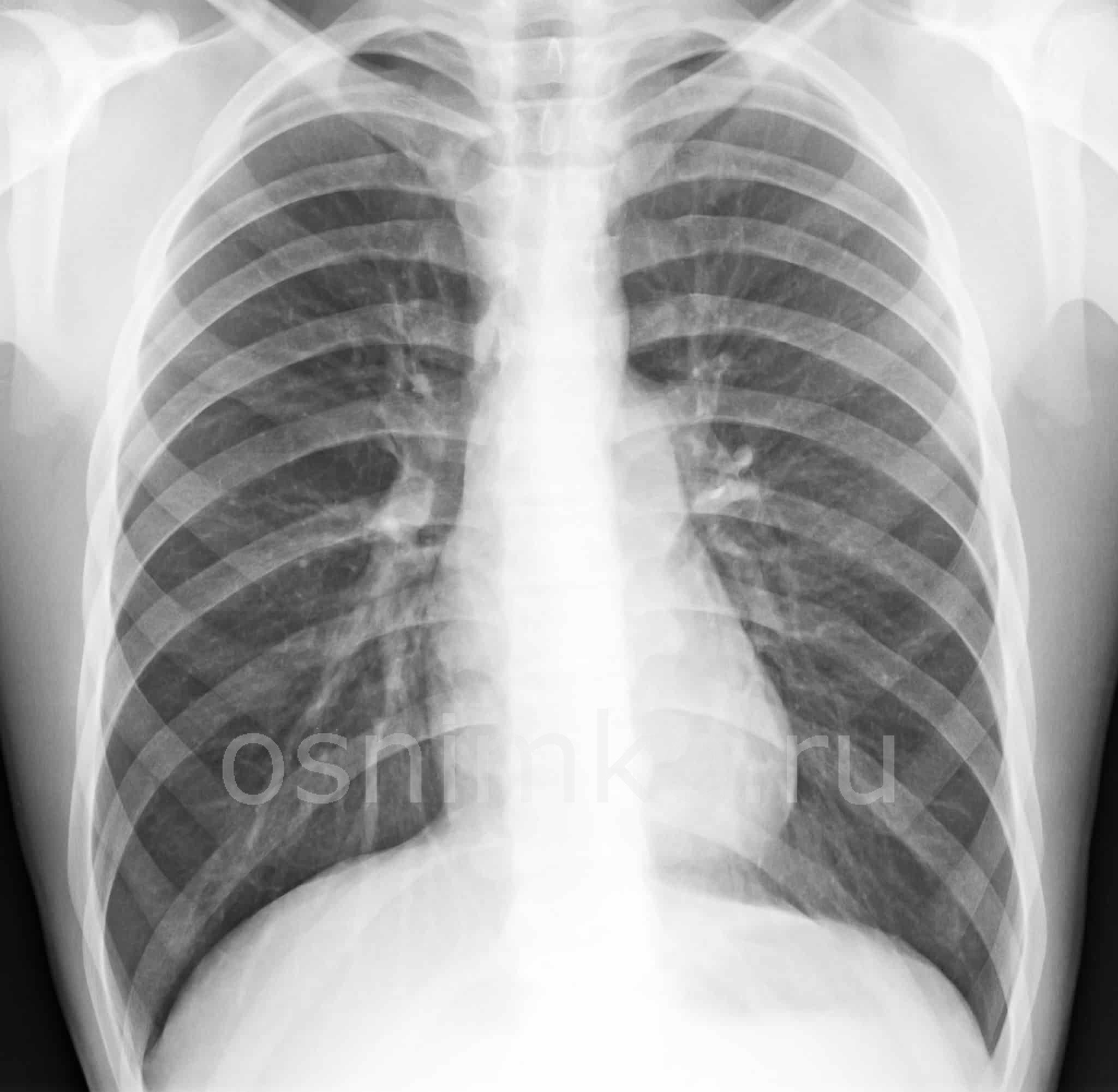
С помощью такого метода выявляют изменения в органах грудной клетки:
- наличие инородного тела;
- скопление воздуха или образование жидкости в бронхах, лёгких, сосудах;
- развитие инфильтратов, фиброзов, абсцессов, опухолей.
Показания к процедуре
Назначением флюорографического обследования является профилактика заболеваний органов дыхания. Согласно рекомендации ВОЗ, показано к проведению 1 раз в два года взрослому населению старше 15 лет. Людям находящимся в группе риска, рекомендуется проходить обследование ежегодно. Это:
- Пациенты, в анамнезе которых хронические заболевания органов дыхания, мочевыделительной системы, нарушения органов пищеварения, эндокринные нарушения.
- Лица без определённого места жительства.
- Вынужденные переселенцы или эмигранты, проживающие в спецучреждениях.
- Социальные работники, сферой которых является детская или подростковая аудитория.
- Сотрудники спортивных, лечебных и образовательных учреждений, а также профилакториев, санаториев.

- ВИЧ-инфицированные;
- в первые три года после излечения от туберкулёза;
- носители туберкулёзной палочки и люди, которые тесно с ними контактировали;
- в первые два года освободившиеся из исправительных учреждений;
- сотрудники роддомов и туберкулёзных диспансеров.
Флюорография показана 2 раза в год, категории людей которые не вправе отказаться от проведения. Её назначают:
- при призыве на военную службу;
- при подозрении на туберкулёз;
- при первичном выявлении ВИЧ-инфекции.
Какая доза допустима при флюорографии
Серьёзные последствия для здоровья пациента оказывает облучение при дозе радиации, превышающей 4 мЗВ (миллизиверт).
Указанная в нормативных документах допустимая безопасная годовая доза облучения составляет 5 мЗВ. В отношении детей, беременных женщин и кормящих матерей она должна быть в два раза ниже.
Согласно классификации безопасным считается показатель до 5 мЗВ в год, разовая допустимая — 0,1 мЗВ. Значение, превышающее показатель (0,7 ЗВ), указывает на развитие лучевой болезни. Заболевание в тяжёлой форме, приводящее к гибели пациентов в 50% случаев, развивается, если разовая доза превышает 4,5 ЗВ.
Плёночная флюорография
Это диагностика является чаще труднодоступной и дорогой в обслуживании. С появлением цифровых технологий метод стал считаться устаревшим, в небольших городах и населённых пунктах используется по сегодняшней день.
При использовании плёночного метода флюорографии больной подвергается облучению, длительность снимка составляет 0,02-0,04 сек./ доза 0,1-0,3 мЗв. При рентгене лёгких (в двух проекциях), эти значения составляют 0,3-0,5 мЗВ, что является опасным.
Принцип работы, лучи проходят через грудную клетку и попадают на матрицу, изображение органов и тканей на высокочувствительную фотоплёнку размером 70 или 100 мм. При помощи проявочного и сушильного оборудования получают рентгеновские снимки. Метод имеет много недостатков, среди которых частыми являются:
- отсутствие точного результата примерно в 15% случаев;
- необходимость проведения повторного обследования из-за бракованных снимков, что увеличивает дозу облучения.
Вредно ли делать флюорографию, если два раза подряд чёткого снимка получить не удалось? Да при плёночном аппарате, это может негативно отразиться на здоровье пациента в будущем, на момент проведения обследования это никак не проявится.
Цифровая флюорография
В отличие от вышеописанного метода, флюорография сканирующего цифрового типа лишена недостатков. Метод заключается в прохождении рентгеновских лучей через грудную клетку и попадание на полупроводниковый линейный детектор, длительность снимка составляет 6,8-7 сек./ доза 0,02-0,05 мЗв. Это обусловлено тем, что:
- не требуется проведение повторного снимка, что снижает риск вторичного облучения;
- на компьютере сохраняются исходные данные, которые могут обрабатываться многократно;
- врач может распечатать снимки, или переслать в DICOM, HL7 формате при обращении к другим специалистам.
Цифровая флюорография считается передовой, поскольку имеет массу неоспоримых достоинств:
- высокая точность снимков;
- уменьшенное в разы количество радиации;
- отсутствие необходимости использования дорогой плёнки;
- малозатратная в финансовом плане;
- возможность хранения полученных данных и их передачи на съёмных цифровых носителях;
- исследовать большее количество пациентов.
Противопоказания
Абсолютных противопоказаний к проведению флюорографического обследования не существует. Относительные ограничения:
- Клаустрофобия — боязнь замкнутых пространств (только при аппаратах с рентгенозащитной кабиной).
- Резко выраженный симптом нехватки воздуха.
- Беременность. Безопасной считается процедура, проводимая на сроке после 20 недели, когда жизненно важные органы сформировались.
- Период лактации. Если избежать обследования не получается, то врачи рекомендуют после проведения процедуры сцедить молоко, а ребёнка кормить следующей порцией.
- Детям в возрасте до 15 лет. Незаконченное формирование детского организма, может спровоцировать рост и развитие раковых клеток. Кроме того, иммунитет может снизиться на фоне полученного облучения, и повысить восприимчивость организма к инфекциям и вирусам различной этиологии.
Флюорография используется в медицине более 100 лет, люди стали опасаться не процедуры, а флюорографического последствия.
Сделаем вывод, опасность рентгена заключается в плёночных аппаратах у которых завышена доза облучения.
При цифровых аппаратах это доза сопоставима с естественным фоном г. Москвы 0,02 мЗВ. Поэтому при прохождении флюорографии, обратите внимание на аппарат. В развитых странах плёночная флюорография не используется, поскольку ВОЗ запретила её применение.
Частые вопросы
Какой вред может нанести частая флюорография?
Частая флюорография может привести к избыточному облучению, что увеличивает риск развития онкологических заболеваний и других патологий.
Какие проблемы могут возникнуть при плёночной флюорографии?
Плёночная флюорография может вызвать проблемы с хранением и обработкой снимков, а также требует большего времени на получение результатов по сравнению с цифровой флюорографией.
Полезные советы
СОВЕТ №1
Не забывайте, что флюорография использует рентгеновское излучение, поэтому частое проведение этого исследования может увеличить риск возникновения радиационных повреждений.
СОВЕТ №2
Перед тем как сделать флюорографию, обязательно проконсультируйтесь с врачом, чтобы оценить необходимость этого исследования и возможные риски.