Рентген стопы — неинвазивный метод диагностики патологий опорно-двигательной системы. Этот способ применим в травматологии, ортопедии и прочих медицинских отраслях. Описываемая методика помогает оценить состояние, структуру и характеристики костей, кондицию стопы, голеностопа.
Показания для рентгеновского исследования
Направление на прохождение рентгена чаще выписывает ортопед или травматолог, основываясь на описанной пациентом клинической картине. В числе возможных жалоб оказываются:
- болезненность в зоне стопы, голеностопного сустава;
- отёк тканей;
- структурные искажения нижнего отдела конечности и пальцев;
- изменение оттенка кожи;
- ограничение в движении голеностопа;
- судороги в икрах;
- «пяточная шпора».
Проявление вышеперечисленных признаков в различной их комбинации и степени выраженности является поводом для обращения к доктору.
Болезни стоп у детей
Одним из показаний к проведению описываемой процедуры является патологический процесс, развивающийся в костно-связочном аппарате нижней зоны конечности в детском возрасте. Речь чаще заходит о врождённых патологиях, которые поддаются лечению при своевременном проведении рентгенодиагностики. В рентгенологии обычно сталкиваются с детской косолапостью и плоскостопием.
Первый из диагнозов часто ставится маленьким детям, недуг носит врождённый характер. При этом стопа пациента развёрнута вовнутрь — подошва слегка согнута. Ребёнок опирается на наружный край стопы, что становится следствием изменений в походке. О детском плоскостопии речь заходит в момент формирования продольного и поперечного свода стопы. Это наблюдается в возрасте 10-12 лет.
Разновидности рентгена
Исходя из наблюдаемой у пациента симптоматики, рентгенография стопы может проводиться в разных проекциях, с нагрузкой или без неё. Такой подход помогает провести подробную диагностику, спланировать терапевтический курс и проконтролировать результаты.
Выбор в пользу той или иной разновидности процедуры делается в зависимости от диагностируемой патологии (возрастные изменения костной ткани, врождённые недуги, артроз, механические повреждения костей и пр.).
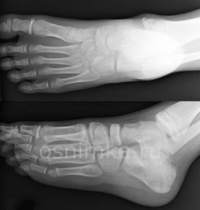
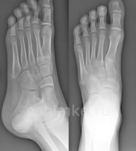
Виды рентгенограмм
В таблице ниже представлены разновидности рентгенограмм с краткой характеристикой к диагностическим процедурам:
| Разновидность рентгенограммы | Пояснение |
|---|---|
| Боковой снимок | Проводится с нагрузкой и без нее. В первом случае пациент опирается на ту конечность, которая исследуется. Затем следует рентген голеностопного сустава без нагрузки. Анализ изображений дает возможность оценить функциональную способность конечности. |
| Передне-задний рентген | Диагностика осуществляется в обеих проекциях при соединенных стопах. Исследование делают с обоих наружных краев. |
| Косой снимок | Стопа и голень пациента помещается на кассету медицинского оборудования под наклоном (угол – 45 градусов). Если того требуют обстоятельства, величина наклона меняется. |
| Тыльно-подошвенный рентген | Исследование осуществляется со стороны подошвы. Стопа больного размещается на матрице, затем голень следует немного отклонить – сверху направлен рентгеновская трубка. |
Как делают рентген
Возможно назначение рентгенографии стоп с нагрузкой или традиционным методом. К первому виду исследования прибегают в случае необходимости подтверждения плоскостопия, вальгусной деформации голеностопной части, деструктивных суставных аномалий.
Ход проведения стандартной процедуры
Исследование не предусматривает дополнительной подготовки со стороны пациента. Перед процедурой больному предстоит освободить обследуемый участок тела от одежды, обуви и аксессуаров.
Пациенту обеспечивается защита от рентгеновского излучения: укрываются репродуктивные органы и грудные железы (у женщин) специальными свинцовыми накладками.
Ход действий специалистов и пациента зависит от целей исследования:
- Для проведения рентгена в прямой проекции больной ложится на спину с согнутыми в коленных суставах ногами. Стопы пациента упираются в функциональную зону стола.
- Косая рентгенография ступни предполагает нахождение пациента в лежачем положении (на здоровой стороне), конечности больного согнуты, а между коленными суставами располагается подушка для создания угла между стопой и функциональной поверхностью.
- Чтобы создать боковой снимок, пациент укладывается на поражённую сторону, сгибает конечности в коленном суставе, здоровая нога выводится вперед.
Как делают снимок с нагрузкой
В таком случае пациент стоит на поражённой конечности, вторая нога должна быть согнута в коленном суставе. Вследствие перенесения веса на поражённую ногу, последняя претерпевает нагрузку — патологические признаки проявляют себя ярче.
Самый информативный диагностический метод — это рентген стопы в двух проекциях (прямой, боковой), когда снимок делают с обеспечением дополнительной нагрузки.
Ограничения
Доза излучения при рентгенографии незначительна. Однако к процедуре не рекомендуется прибегать женщинам, вынашивающим ребёнка, т. к. исследование может стать следствием начала генных сбоев в клетках плода, привести к патологическому внутриутробному развитию ребёнка. Если же исключить рентген из диагностического листа не удаётся, перед процедурой на пациентку надевают специальный фартук для защиты ребёнка.
Накануне проведения процедуры человеку предстоит снять с себя предметы из металла (украшения, часы, заклёпки, ремни и пр.), которые могут повлиять на результат.
Где лучше пройти рентген
Рентгенография стопы в случае подозрения на плоскостопие и прочие недуги — доступная процедура, сделать которую возможно почти в любом из медицинских учреждений.
В случае необходимости минимизации дозы облучения во время обследования стоит принять во внимание качество используемого оборудования. Цифровой рентгеновский аппарат не требует существенных доз излучения для формирования качественных изображений, в то время как плёночное оборудование облучает больного большой порцией рентгена (смотрите видео).
Спрашивайте о типе рентген аппарата у рентгенолаборанта.
При появлении приведённых симптомов пациенту показано проведение рентгенологического обследования поражённой ступни. Чаще болевой синдром, проявляющийся в момент нагрузки нижних конечностей, говорит о развитии плоскостопии.
Однако не исключено присутствие и альтернативных изменений в мышечной, костной ткани и связках ног. В рентгеноскопии чаще прибегают к исследованию с нагрузкой, в ходе которого специалист имеет возможность точно определить развивающуюся патологию. Описываемая процедура относится к группе безболезненных, оперативных и информативных диагностических мероприятий. Альтернативными методиками выступают МРТ и КТ.
Частые вопросы
Как проводится рентгенография стопы с нагрузкой?
Для проведения рентгенографии стопы с нагрузкой пациент становится на специальную платформу, которая позволяет получить снимок при нагрузке. Это помогает врачам увидеть изменения в структуре и положении костей при нормальной нагрузке на стопу.
В чем заключается съемка ступни в двух проекциях при рентгенографии стопы?
При съемке ступни в двух проекциях врачи получают два снимка: сбоку и сверху. Это позволяет более полно оценить состояние костей, суставов и мягких тканей стопы, выявить деформации и другие патологии.
Полезные советы
СОВЕТ №1
Перед прохождением рентгенографии стопы уточните у специалиста, какие именно проекции и нагрузки будут использованы при диагностике. Это поможет вам быть готовым к процедуре и избежать недопониманий.
СОВЕТ №2
При прохождении рентгенографии стопы следуйте инструкциям медицинского персонала относительно позы тела и ноги, чтобы получить наиболее точные снимки. Это поможет избежать необходимости повторной процедуры из-за некорректного положения.
СОВЕТ №3
Если у вас возникли какие-либо вопросы относительно процесса рентгенографии стопы, не стесняйтесь обратиться к медицинскому персоналу за разъяснениями. Важно быть в курсе всех этапов процедуры и уверенно следовать инструкциям специалистов.



