Остеохондропатии – это численная группа заболеваний, которая поражает апофизы костей. Апофиз – это отросток кости, функция которого состоит в прикреплении к нему сухожилий мышц. Остеохондропатии встречаются преимущественно у подростков, у взрослых они практически никогда не развиваются. Одна из часто встречаемых остеохондропатий – это заболевание Осгуда-Шлаттера.
У кого возникает болезнь
Болезнь Осгуда-Шлаттера у подростков развивается существенно чаще, чем у взрослых. Чаще симптомы болезни присутствуют у детей, которые активно занимаются спортом. Мальчики болеют чаще девочек, что объясняется частым вовлечением в занятия спортом именно мальчиков. Но в последние несколько лет, в связи с интенсивным завлечением в спорт и девочек, гендерные особенности болезни практически отсутствуют. Наивысшая вероятность заболевания приходится на возраст 13-16 лет. Если прибегнуть к статистическим данным, то процент остеохондропатии Осгуда-Шлаттера у подростков, которые интенсивно занимаются спортом, составляет 12,9%. Потому эта патология имеет большое клиническое значение. У 50% больных симптомы возникают после травмы.
Врачи отмечают, что болезнь Осгуда-Шлаттера часто встречается у подростков, особенно у тех, кто активно занимается спортом. Это заболевание связано с воспалением в области бугристости большеберцовой кости, что может вызывать боль и дискомфорт в коленном суставе. Специалисты подчеркивают, что основными факторами риска являются интенсивные физические нагрузки и недостаточная гибкость мышц. Важно, чтобы подростки, испытывающие боли в колене, не игнорировали симптомы и обращались за медицинской помощью. Лечение может включать физиотерапию, изменение тренировочного режима и, в некоторых случаях, применение противовоспалительных препаратов. Врачи также рекомендуют регулярные разминки и укрепляющие упражнения для предотвращения рецидивов. Своевременное обращение к специалисту и соблюдение рекомендаций помогут избежать серьезных осложнений и обеспечат полноценное восстановление.

Факторы риска болезни
- Возраст. Болезнь наблюдается во время полового созревания организма, у взрослых она практически не встречается (правда могут наблюдаться остаточные явления в виде шишки под коленом).
- Пол. Чаще болеют мальчики, но постепенно это различие сокращается.
- Занятия спортом. Болезнь Осгуда-Шлаттера более чем в 5 раз чаще поражает детей, которые занимаются активными видами спорта. Особо опасны с позиции развития остеохондропатии виды спорта, которые требуют постоянных нагрузок на коленный сустав (футбол, фигурное катание, гимнастика, волейбол, баскетбол, легкая атлетика, балет и др.).
Почему развивается заболевание
Во всех костях ребенка есть зоны роста, за счет которых кость растет. В длинных костях эта зона находится между диафизом и эпифизом, именно в том месте (апофиз), где крепится к большеберцовой кости сухожилие четырехглавой мышцы бедра (бугристость большеберцовой кости).
В развитии болезни важными являются несколько предрасполагающих факторов. Во-первых, кровоснабжение зоны роста является отдельным от остальной кости и в течение полового созревания (скачок роста), кровеносные сосуды не успевают расти за стремительным ростом кости, что приводит к хронической нехватки кислорода в зоне бугристости большеберцовой кости, это делает эту структуру достаточно хрупкой. Во-вторых, постоянные нагрузки на, и без того, хрупкую структуру при занятиях спортом ведут к ее постоянному травмированию. Организм реагирует на это защитной реакцией в виде активации процессов роста и оссификации еще не зрелой бугристости, которая разрастается с образованием болезненной шишки под коленом. Процесс может быть одно- и двусторонним.
Болезнь Осгуда-Шлаттера — это распространенное заболевание среди подростков, особенно тех, кто активно занимается спортом. Многие молодые спортсмены жалуются на боль в колене, особенно во время физических нагрузок. Родители и тренеры часто замечают, что подростки начинают избегать определенных видов активности из-за дискомфорта. Важно отметить, что это состояние связано с ростом и развитием, и обычно проходит с возрастом. Однако, несмотря на временный характер, боли могут значительно повлиять на качество жизни подростка. Некоторые подростки делятся своими переживаниями в социальных сетях, обсуждая методы лечения и реабилитации. Они отмечают, что важно не игнорировать симптомы и обращаться за медицинской помощью, чтобы избежать осложнений в будущем. Правильная диагностика и соблюдение рекомендаций врачей помогают многим вернуться к любимым видам спорта и активной жизни.

Симптомы заболевания
Симптомы болезни Осгуда-Шлаттера только местные (суставные). Общее состояние больных не нарушается, если нет осложнений. Среди суставных симптомов можно наблюдать:
- Появление шишки под коленом (в области большеберцовой бугристости), которая сопровождается отеком окружающих тканей. Цвет кожи над наростом не меняется, повышения местной температуры и покраснения нет, что свидетельствует об отсутствии инфекционного воспаления.
- Болевой синдром почти всегда сопровождает остеохондропатию Осгуда-Шлаттера. Интенсивность боли варьируется индивидуально и зависит от конкретного случая. У некоторых пациентов боли возникают только при выполнении отдельных движений (прыжки, бег), а в некоторых она постоянная и изнурительная. За время болезни Осгуда-Шлаттера болевые приступы могут повторяться до тех пор, пока ребенок не перестанет расти и болезнь пройдет сама собою или помочь может лечение.
- Усиление боли при опоре на больное колено, при его пальпации и давлении на связку четырехглавой мышцы бедра, при беге, прыжках, подъемах по лестнице.
- Также отмечают напряжение мышечного каркаса коленного сустава.
В некоторых случаях симптомы патологии Осгуда-Шлаттера у подростков могут себя никак не проявлять, а заболевание выявляется случайно, например, при рентгенологическом обследовании по другим причинам.
Диагностическая программа
Как правило, при типичном течении болезни Осгуда-Шлаттера диагностика не предоставляет никаких трудностей. При обращении к врачу для установления причин болезненной шишки под коленом, ему нужно сообщить информацию о симптомах, которые беспокоят ребенка, связи этих симптомов с физическими упражнениями, не забыть рассказать о проблемах с коленным суставом в прошлом (особенно, если были травмы).
Потом врач осмотрит больной коленный сустав. Оценит характерные признаки для болезни Осгуда-Шлаттера (нарост, отек, боль) и объем активных и пассивных движений в колене.
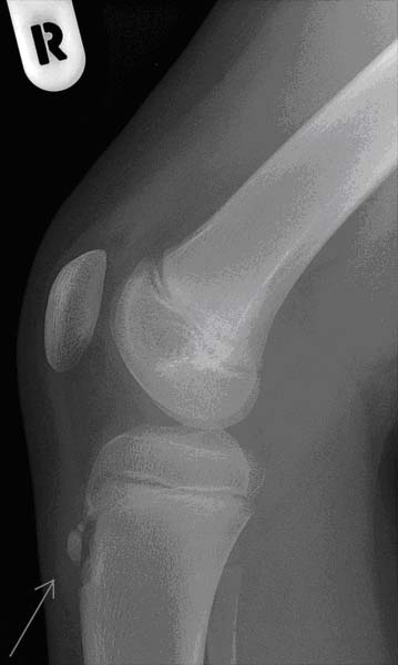
При оценке лабораторных исследований никаких отклонений от нормы не находят. Среди инструментальных исследований особое значение имеет рентгенография пораженного сустава, которая позволяет визуализировать патологию бугристости большеберцовой кости.
Также при диагностике используют ультразвуковое исследование и магнитно-резонансную томографию.

Принципы лечения
Данное заболевание хорошо поддается лечению, имеет благоприятный прогноз и доброкачественное течение. Но основной проблемой для пациента является длительность болезни (от полугода до двух лет), что требует значительного ограничения физической активности на долгий период. Методы лечения могут быть как консервативными, так и хирургическими.
Консервативные мероприятия
Лечение остеохондропатии Осгуда-Шлаттера консервативными методами является основным. В первую очередь, оно направлено на купирование болевого синдрома (назначение болеутоляющих медикаментов), уменьшение воспалительного процесса бугристости большеберцовой кости, нормализацию процессов оссификации апофиза.
Большую роль играет щадящий режим. Если ребенок занимается спортом, то на период курса лечения нужно обязательно прекратить физические нагрузки. Также приветствуется ношение бандажа для больного коленного сустава. Целесообразно назначение адекватных для возраста ребенка доз кальция, витамина D, А, Е, В.
Обязательной составляющей консервативного лечения остеохондропатии Осгуда-Шлаттера является физиотерапия (магнитотерапия, УВЧ, электрофорез с лидазой, никотиновой кислотой, кальция хлоридом). В большинстве случаев после такого лечения наблюдают значительное улучшение, но длительность курса составляет 3-6 месяцев.
Хирургическое лечение
Показания к операции:
- Длительное течение болезни.
- Неэффективность консервативных методик.
- Отделение отдельных костных фрагментов от большеберцовой кости, установленное с помощью рентгенографии.
- Если возраст ребенка 14 лет и старше.
После хирургического вмешательства нужно пройти курс консервативной терапии, что позволит добиться значительного успеха и поможет ребенку избавиться от болезни и вести привычный ему активный образ жизни.
Медикам, возможно, будет интересно следующее видео:
Вопрос-ответ
Что будет, если не лечить болезнь осгуда Шлаттера?
Осложнения болезни Осгуда-Шлаттера. При развитии деформации наколенника, вызванного его смещением, нарушается подвижность и кровоснабжение сустава, и формируется остеоартроз. Это заболевание вызывает дегенеративно-дистрофические изменения хрящевой ткани, а в последующем и разрушение костей, трущихся друг о друга.
В каком возрасте проявляется болезнь Шлаттера?
Болезнь Осгуда-Шляттера развивается в возрасте 10–15 лет и обычно поражает только одну ногу. Это заболевание, как правило, чаще встречается среди мальчиков, но гендерный разрыв постепенно сужается по мере того, как все большее число девушек вовлекается в спортивные программы.
Чем опасна болезнь Шлаттера?
Не могут заниматься спортом. Но при тяжелом течении расстройства, поражение ног при болезни Шляттера может быть куда интенсивнее. Вплоть до полной потери способности опираться на ногу. Последствия болезни Шляттера включают в себя износ коленного сустава и вторичные заболевания ортопедического профиля.
Как понять, что у тебя болезнь Шлаттера?
Основные симптомы болезни Шляттера – это боль и припухлость в области колена. Патологический процесс чаще всего односторонний, крайне редко заболевание развивается в правом и левом коленных суставах одновременно. Диагностика синдрома Шляттера базируется на тщательной оценке клинической картины.
Советы
СОВЕТ No1
Регулярно выполняйте специальные упражнения для укрепления мышц ног и коленного сустава. Это поможет снизить нагрузку на колени и уменьшить риск обострения болезни Осгуда-Шлаттера.
СОВЕТ No2
Обратите внимание на правильную технику выполнения спортивных упражнений. Неправильная техника может усугубить состояние коленного сустава, поэтому важно следить за своим телом и при необходимости консультироваться с тренером.
СОВЕТ No3
Не игнорируйте болевые ощущения. Если вы чувствуете дискомфорт или боль в колене, сделайте перерыв в тренировках и проконсультируйтесь с врачом. Раннее вмешательство может предотвратить дальнейшие осложнения.
СОВЕТ No4
Используйте ортопедические стельки или специальные наколенники, если это рекомендовано врачом. Они могут помочь распределить нагрузку на коленный сустав и уменьшить болевые ощущения.




